
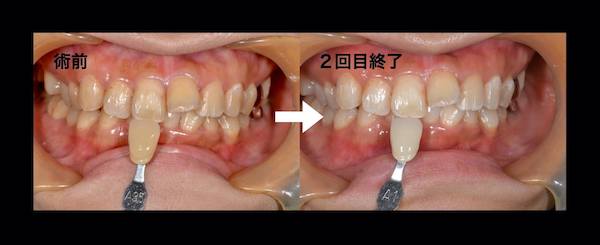
「ホワイトニングは歯の色を明るくするだけでなく、清潔感も演出してくれるので、自信を持って笑顔を見せられるのが嬉しいですね。」
<関連する記事>
|
歯科医が回答!ホワイトニングのメリット・デメリットは?【働く30代が知っておくべき歯のすべて】 …ウスピース矯正であればホワイトニングは可能です」 Q.市販のホワイトニング歯磨き剤は効果はありますか?A.予防、ホワイトニング後のキープのためには効果あり… (出典:@BAILA) |
|
「笑うセールスマンみたい…」ホワイトニングにお金をかけているオジサンが、実は女子から不評な意外すぎる理由。 …方が高額なホワイトニング施術料を払うよりコストパフォーマンスは断然良いはずです。 その上でホワイトニングをする場合は、過剰なホワイトニングだけは避けてくださいね。 (出典:FORZA STYLE) |
|
歯のホワイトニングにまつわる6つの方法を専門家が解説 …ができる。 しかし、本当に効果的な歯のホワイトニングの味方は、ホワイトニング歯磨き粉だ。 「多くのホワイトニングに特化した歯磨き粉は重曹を含んでいます… (出典:ELLE DIGITAL) |
<関連する動画>
<ツイッターの反応>
ささくわギャランドゥ
@Sasakuwa昨夜に豚道場で冷やしまぜそば、カラシマヨ、ウズラ。昨夜は食べた後にチョコザップに行くつもりだったので大盛りはやめました!でもチョコザップでホワイトニングとかネイルとかしてるだけだったので大盛りにしとけば良かった。やっぱ冷やしの見た目とボリュームと味が最高過ぎて冷やしは本当に大好き pic.twitter.com/hJJYDHd0nM
くーこちゃん
@coo__co★ 医薬部外品 ブレスマイル(BRESMILE) 薬用歯みがき粉 ブレスマイルクリア 60g×1本 口臭予防 口臭 ケア 口臭ケア 歯磨き粉 歯 ホワイトニング 歯を白くする ヤニ取り 歯 ブレスマイル クリア #ad amazon.co.jp/dp/B09RSWGJWF?…
toki 7/14赤D12[D38]
@toki_encre風呂場にメイク落としだと思って掴んで行ったものが歯磨き粉でひと笑いするくらいには疲れてる。 クリニカ アドバンテージ [医薬部外品] +ホワイトニングと目があっちゃったよね。 いつもお世話になっております。せっかくだから風呂場で歯を磨いた。
はし物語
@llkf_xチョコザップ、ホワイトニングと脱毛までできるのやばく無い?行こうかな
けーちゃん@ハム目消えろ
@K_and_K1004とりあえず久しぶりにホワイトニングしよ〜リップが映えない







